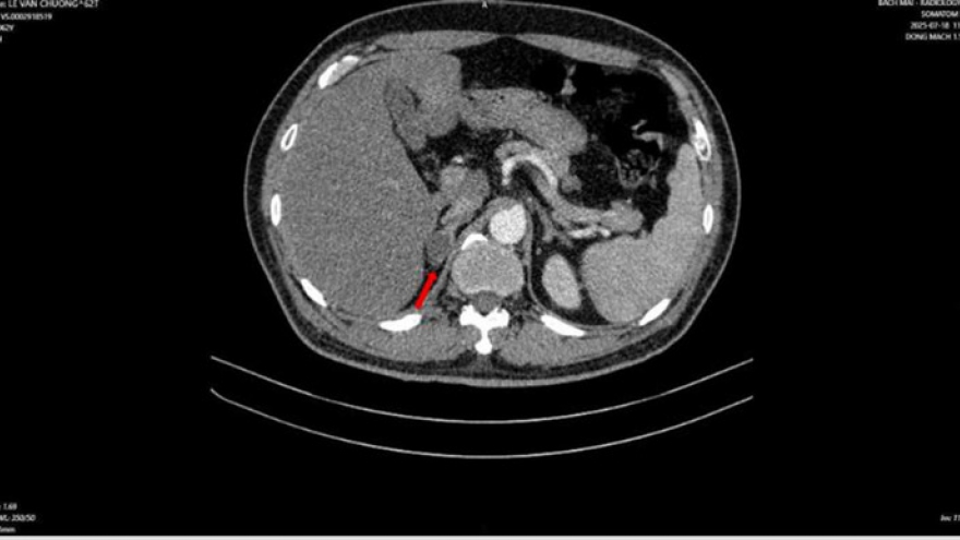
VOV.VN - Người đàn ông 63 tuổi mắc đồng thời hai loại ung thư nguyên phát gồm ung thư phổi và ung thư tuyến tiền liệt.