Vàng da tưởng sỏi mật, đi khám phát hiện cùng lúc 2 ung thư

VOV.VN - Bệnh nhân 59 tuổi nhập viện vì vàng da, ngứa kéo dài, được phát hiện đồng thời ung thư đại tràng phải và ung thư đường mật trong gan.

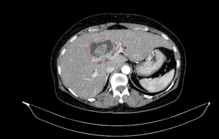
Một phụ nữ 59 tuổi được các bác sĩ Trung tâm Y học hạt nhân và Ung bướu, Bệnh viện Bạch Mai, tiếp nhận trong tình trạng vàng da, ngứa và đau vùng hạ sườn phải kéo dài. Kết quả chẩn đoán hình ảnh ban đầu ghi nhận tổn thương đường mật trong gan kèm sỏi và giãn đường mật.

Tuy nhiên, trong quá trình thăm khám toàn diện, nội soi tiêu hóa phát hiện thêm một khối u tại đại tràng lên. Sinh thiết xác định đây là ung thư biểu mô tuyến.

Sau hội chẩn đa chuyên khoa, các bác sĩ xác định bệnh nhân mắc đồng thời hai ung thư nguyên phát, thay vì một khối u di căn. Cụ thể, ung thư đại tràng phải ở giai đoạn sớm, chưa di căn hạch, trong khi ung thư đường mật trong gan đã ở giai đoạn tiến triển, có xâm lấn và di căn hạch.

Theo các chuyên gia, việc phân biệt ung thư nguyên phát với di căn có ý nghĩa then chốt, bởi quyết định hoàn toàn hướng điều trị và tiên lượng cho người bệnh.

Dựa trên thể trạng và mức độ tổn thương, ê-kíp lựa chọn phương án phẫu thuật triệt căn trong cùng một lần mổ. Người bệnh được cắt đoạn đại tràng phải kèm nạo vét hạch, đồng thời cắt gan trái và đường mật ngoài gan.

Ca mổ diễn ra thuận lợi, toàn bộ tổn thương được loại bỏ. Sau phẫu thuật, bệnh nhân hồi phục tốt, chức năng gan mật dần ổn định.

Kết quả giải phẫu bệnh cho thấy tổn thương đại tràng đã được cắt bỏ triệt căn, không cần điều trị bổ trợ. Trong khi đó, ung thư đường mật có xâm lấn thần kinh và di căn hạch, do đó bệnh nhân tiếp tục được hóa trị bổ trợ nhằm giảm nguy cơ tái phát.

Theo PGS.TS Phạm Cẩm Phương, Giám đốc Trung tâm Ung bướu và Y học hạt nhân, Bệnh viện Bạch Mai, việc phát hiện đồng thời hai ung thư nguyên phát trong hệ tiêu hóa là rất hiếm. Trường hợp này cho thấy vai trò quan trọng của thăm khám toàn diện, giúp phát hiện sớm những tổn thương tiềm ẩn.

Đáng chú ý, ung thư đường mật trong gan thường tiên lượng xấu do phát hiện muộn. Ở bệnh nhân này, các dấu hiệu tắc mật xuất hiện sớm đã vô tình trở thành “chìa khóa” giúp phát hiện bệnh ở thời điểm còn khả năng can thiệp triệt căn.

Bác sĩ khuyến cáo người dân cần đi khám khi có các dấu hiệu bất thường như vàng da, đau bụng, rối loạn tiêu hóa kéo dài. Tầm soát ung thư định kỳ, đặc biệt bằng nội soi tiêu hóa, giúp phát hiện sớm tổn thương.

Sau điều trị, bệnh nhân cần tái khám định kỳ mỗi 3-6 tháng bằng siêu âm, CT hoặc MRI và xét nghiệm dấu ấn ung thư. Riêng với ung thư đại tràng, nội soi kiểm tra nên thực hiện mỗi 1-2 năm để phát hiện sớm tái phát hoặc tổn thương mới.

Trường hợp này được xem là minh chứng cho hiệu quả của tiếp cận đa chuyên khoa và cá thể hóa điều trị trong các ca ung thư phức tạp.

Mời quý độc giả theo dõi VOV.VN trên
Viết bình luận

This site is protected by reCAPTCHA and the Google Privacy Policy and Terms of Service apply.

Tin liên quan

Cá chép bổ dưỡng nhưng “đại kỵ” với những thực phẩm này
Cá chép bổ dưỡng nhưng “đại kỵ” với những thực phẩm này

VOV.VN - Cá chép là thực phẩm giàu dinh dưỡng, quen thuộc trong bữa ăn của người Việt. Tuy nhiên, nếu kết hợp không đúng với một số thực phẩm, cá chép có thể gây rối loạn tiêu hóa, làm giảm giá trị dinh dưỡng và ảnh hưởng đến sức khỏe.

Cá chép bổ dưỡng nhưng “đại kỵ” với những thực phẩm này

Cá chép bổ dưỡng nhưng “đại kỵ” với những thực phẩm này

VOV.VN - Cá chép là thực phẩm giàu dinh dưỡng, quen thuộc trong bữa ăn của người Việt. Tuy nhiên, nếu kết hợp không đúng với một số thực phẩm, cá chép có thể gây rối loạn tiêu hóa, làm giảm giá trị dinh dưỡng và ảnh hưởng đến sức khỏe.

Thói quen ăn 2 quả chuối mỗi ngày giúp cơ thể thay đổi ra sao?
Thói quen ăn 2 quả chuối mỗi ngày giúp cơ thể thay đổi ra sao?

VOV.VN - Chuối là loại trái cây quen thuộc, giàu vitamin, khoáng chất và chất xơ. Theo các chuyên gia dinh dưỡng, duy trì thói quen ăn khoảng 2 quả chuối mỗi ngày có thể mang lại nhiều lợi ích cho tiêu hóa, tim mạch và sức khỏe tổng thể.

Thói quen ăn 2 quả chuối mỗi ngày giúp cơ thể thay đổi ra sao?

Thói quen ăn 2 quả chuối mỗi ngày giúp cơ thể thay đổi ra sao?

VOV.VN - Chuối là loại trái cây quen thuộc, giàu vitamin, khoáng chất và chất xơ. Theo các chuyên gia dinh dưỡng, duy trì thói quen ăn khoảng 2 quả chuối mỗi ngày có thể mang lại nhiều lợi ích cho tiêu hóa, tim mạch và sức khỏe tổng thể.

Những thực phẩm ung thư rất sợ, bổ dưỡng cứ ra chợ là thấy lại mà ít người biết
Những thực phẩm ung thư rất sợ, bổ dưỡng cứ ra chợ là thấy lại mà ít người biết

VOV.VN - Trong cuộc chiến chống lại ung thư, chế độ dinh dưỡng đóng vai trò như một "lá chắn" tự nhiên vô cùng lợi hại. Ít ai biết rằng, ngay trong căn bếp của mỗi gia đình đều có những loại thực phẩm được ví như "khắc tinh" của tế bào ung thư.

Những thực phẩm ung thư rất sợ, bổ dưỡng cứ ra chợ là thấy lại mà ít người biết

Những thực phẩm ung thư rất sợ, bổ dưỡng cứ ra chợ là thấy lại mà ít người biết

VOV.VN - Trong cuộc chiến chống lại ung thư, chế độ dinh dưỡng đóng vai trò như một "lá chắn" tự nhiên vô cùng lợi hại. Ít ai biết rằng, ngay trong căn bếp của mỗi gia đình đều có những loại thực phẩm được ví như "khắc tinh" của tế bào ung thư.